We’re Accepting New Patients!

Read More Next

Looking for a caring and professional dental practice? We’re excited to welcome new patients to our clinic! Whether you’re due for a check-up, need treatment, or are looking to enhance your smile, our friendly team is here to help.
Contact us today to book your first appointment—we look forward to meeting you!

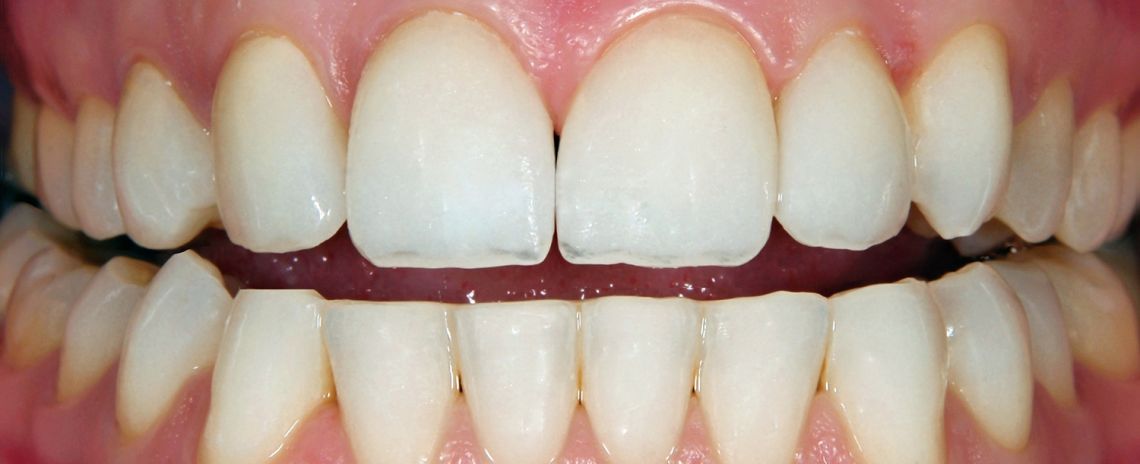
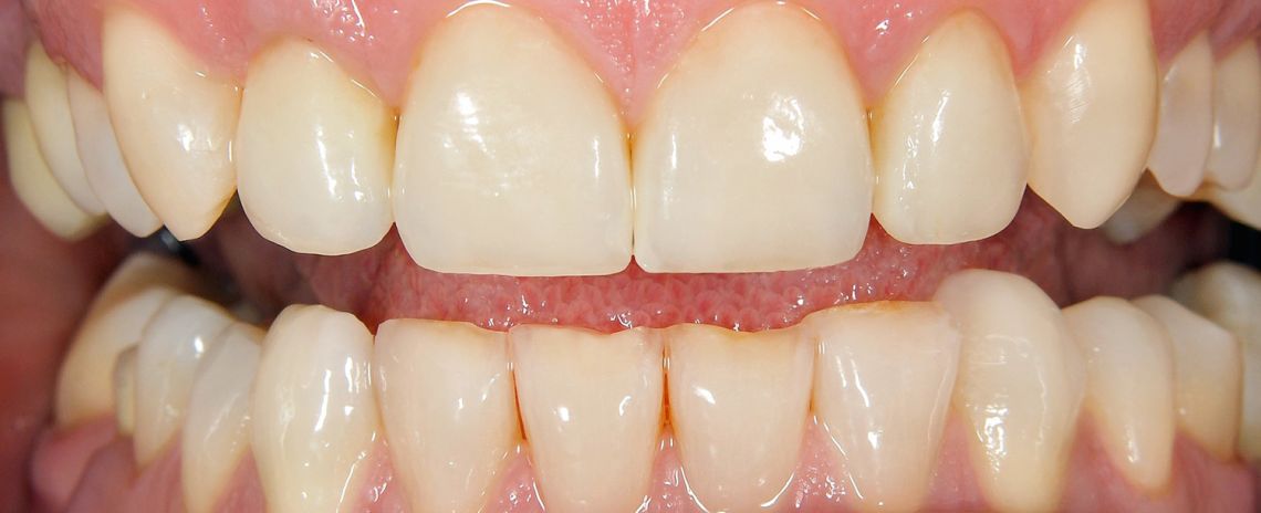
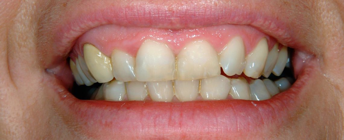
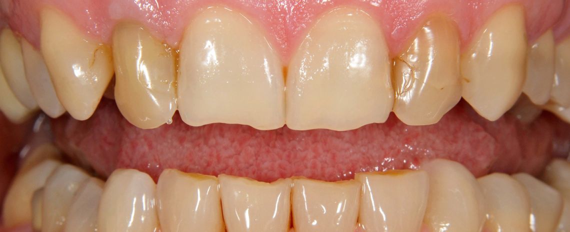
Veneers

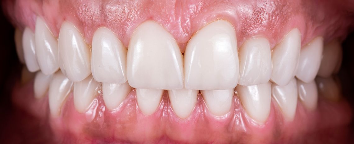
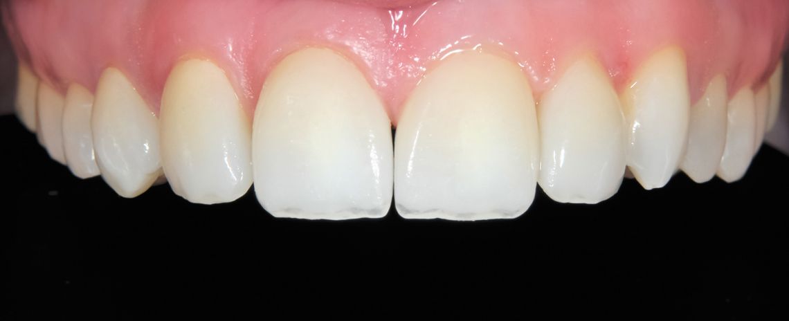
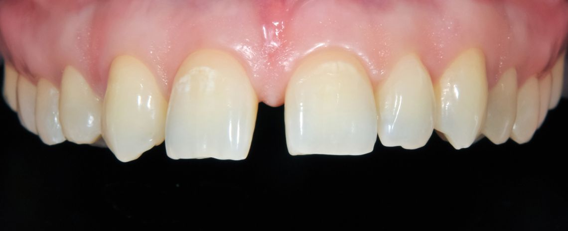
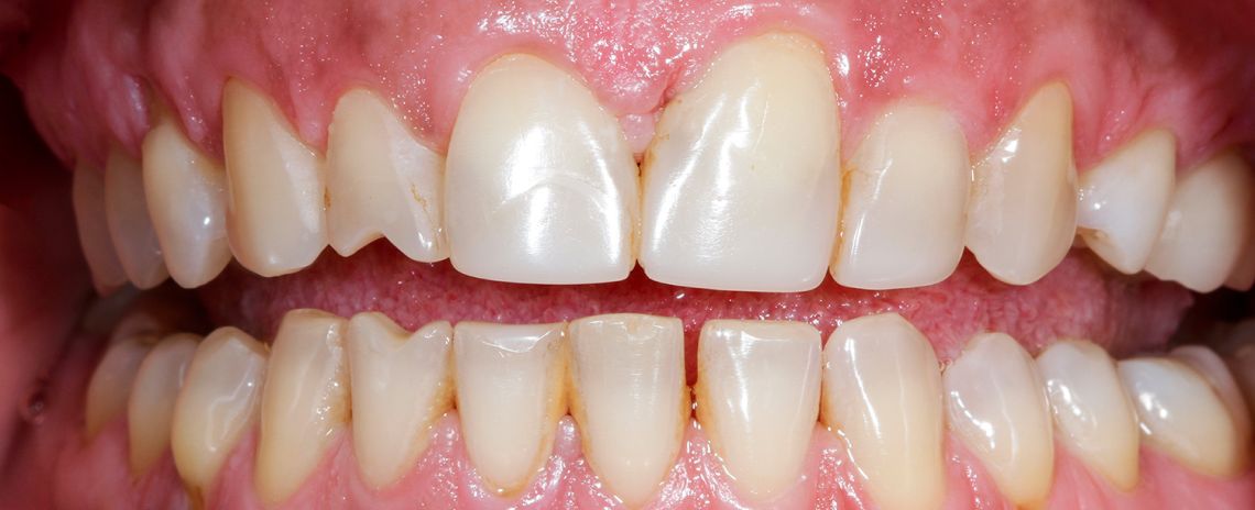
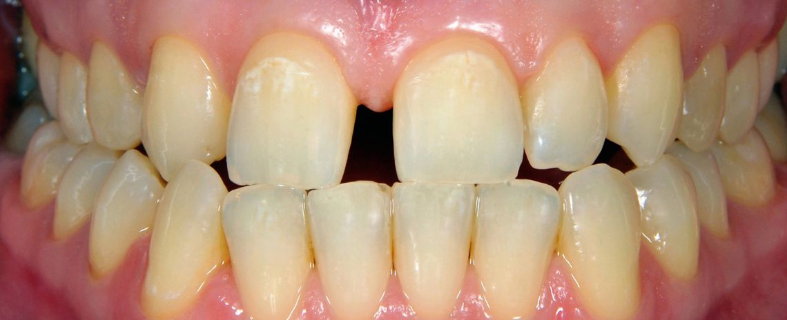
A veneer is a thin, custom-made shell that is used to cover the front surface of a tooth, usually made from porcelain. They look natural and healthy, and can improve the colour, shape and position of your teeth. They can hide stained, chipped, mis-shaped or crooked teeth, or cover gaps in teeth where orthodontic treatment may not be suitable.

At Oakmead Dental Care we use only the best materials and quality ceramic laboratories that have been tried and tested by thousands of patients. The procedure takes two appointments. At the first appointment, we shape your teeth as carefully and conservatively as possible and take a mould of the teeth to be veneered. Hand crafted temporary veneers are then placed on your teeth whilst your final veneers are being made. This allows you to ‘trial’ your new smile so that you can experience how your new smile will look and feel. If you want any changes to the shape or size at this stage, we can make adjustments so that you’re completely satisfied.

Once the veneers are ready, the temporary veneer is removed at your second appointment, and the permanent one fitted. Your Oakmead Dental Care dentist will check the fit to ensure a correct bite and check your comfort, before securing in place.

Call us on 01342 325363 to book a consultation and discuss your smile makeover options.

Meet the team

Andrew Hopkins

Dentist

GDC NO. 61991

Ashish Patel

Dentist | Invisalign Silver Provider

GDC NO. 85963

Paul Cassidy

Dentist

GDC NO. 74614

Previous
Next
Patient Reviews

People are talking about us

The biggest complement we receive is when our patients refer their friends and family to Oakmead Dental Care. In fact, we have built much of our practice on these valued, trusted recommendations over the years. Read our reviews to hear why our patients are recommending us…

Leave a Google Review

Patient reviews

1305 Reviews

5.0

12th April 2026

Kindness of all the staff re my disability problems

9th April 2026

The dentist was very knowledgeable and professional, offering me excellent information and advice and the treatment she used to mend the tooth was done quickly and very effectively. The dental assistant was also very helpful, polite and a great support. Great teamwork!

9th April 2026

Excellent dental practice - been a patient for many years and feel I’ve always had excellent care.

4th April 2026

Paul Cassidy was so kind and the lively nurse Sophy kept me occupied so I was not concentrating on my own anxiety. Great practice Great Team highly recommended

30th March 2026

I was seen reasonably close to my appointment time and dentist listened to me. I have undergone emergency major surgery since my last appointment and am still in recovery period so feeling a little fragile.

28th March 2026

The hygienist Debbie as always was on time really friendly and efficient. She is always very thorough and gave some helpful advice as i had had some problems a couple of weeks before. I had to wait an extra 10 minutes for my next appointment to see the dentist who was extremely quick.

26th March 2026

Pleasant environment, prompt attention, thorough and gentle assessment, X-rays and treatment planning. Options fully explained and written follow up with treatment planning awaited.

24th March 2026

I was only booked for a checkup, I knew I had lots to do but was surprised that She was able to remove an abcessed root of a broken tooth that day. I was aware of the abcess but thought it would be booked at a later date.

21st March 2026

The general professionalism and friendliness at Oakmead. They're all like one big happy family and it shows to their patients who feel that vibe

20th March 2026

Good clean, on time, nice hygenist

16th March 2026

Communication, organisation and treatment went without problem.

16th March 2026

Very friendly and helpful staff.Everything is explained and discussed.Having continuity with the same dentist means you trust them and have a rapport.

16th March 2026

The staff are always very friendly and helpfulI had a wait before my appointment with the dentist but the nurse apologised as soon as I saw her

15th March 2026

I am nervous of dentists and treatments and I recently became a client as my previous dentist retired so I was anxious about coming to Oakmead but everyone has been warm and friendly putting me at ease

15th March 2026

The problem was parking. I often walk but had to take the car to get to another appointment. The car park was already overfull and I couldn't park on the road due to the restrictions between 10-11 am and the park had no parking due to works (that's where i used to park but the amount of parking has drastically reduced due to EV charging stations and some parking spots disappearing. I ended up late despite leaving far more time than usual as had to pay for parking in car park on A22 and run back so ended up a couple of minutes late. Perhaps a warning over the car park at the park being out of action to patients would have helped. They have had works going on there for months but I was unaware that they had taken over the car park.

15th March 2026

All very efficient and pleasant

13th March 2026

All staff and dentists are very friendly making you feel calm and also builds trust in a normally anxious situation.

11th March 2026

Arrived early & was seen almost straight away

9th March 2026

Attending the dentist after all my childhood trauma with dentist’s is a massive testament to the empathy and understanding of all the Oakmead staff.

8th March 2026

Jill always does a fantastic job of cleaning and polishing my teeth.

Prev Previous
Next Next