We’re Accepting New Patients!

Read More Next

Looking for a caring and professional dental practice? We’re excited to welcome new patients to our clinic! Whether you’re due for a check-up, need treatment, or are looking to enhance your smile, our friendly team is here to help.
Contact us today to book your first appointment—we look forward to meeting you!

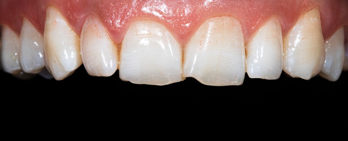
Composite bonding

A non-invasive use of tooth-coloured filling material to lengthen or re-shape the front teeth.

Bonding uses a composite resin to close spaces, change the colour of the teeth, mask any discolorations, repair chips, change the size or shape of teeth, and give crooked or uneven teeth a straight-looking appearance.

Cosmetic bonding can be used on a single tooth or transform an entire smile. It is a simple technique that allows the white filling material to bond to the natural tooth, usually without the need to prepare/shape the tooth and is completed in one short visit. Another advantage of this technique is that an anaesthetic is not normally required, allowing you to smile with confidence, immediately. An artistic eye is required in order to produce natural seamless results and the dental team at Oakmead Dental Care have trained extensively in this procedure, transforming many smiles.

After cosmetic bonding, your new smile should last several years depending on your lifestyle. Smoking, drinking or using your teeth as tools, may reduce the life expectancy of the bonding and you may need to get your teeth polished once a year as the bonding material stains more readily than natural teeth.

Call us on 01342 325363 to book a consultation and discuss your smile makeover options.

Meet the team

Andrew Hopkins

Dentist

GDC NO. 61991

Ashish Patel

Dentist | Invisalign Silver Provider

GDC NO. 85963

Paul Cassidy

Dentist

GDC NO. 74614

Previous
Next
Patient Reviews

People are talking about us

The biggest complement we receive is when our patients refer their friends and family to Oakmead Dental Care. In fact, we have built much of our practice on these valued, trusted recommendations over the years. Read our reviews to hear why our patients are recommending us…

Leave a Google Review

Patient reviews

1310 Reviews

5.0

17th April 2026

Jill took time to listen to me in relation to my sensitive tooth areas, took her time allowing me to take breaks if needed. She made the experience so much better than I’d previously recieved in the past from other hygienists.

17th April 2026

Very professional and caring

16th April 2026

Paul was very calm and knowledgeable. He took time to carefully understand my wants and needs and explained the different treatment options available to me. I left feeling very reassured and would highly recommend him.

16th April 2026

I have been with Oakmead for twenty-five years and have always been told the treatment I will receive and why. Everone, dentist, nurses and reception satff have always been courteous and helpful giving good advice.

15th April 2026

Polite informed staff dealing with cancer patient

12th April 2026

Kindness of all the staff re my disability problems

9th April 2026

The dentist was very knowledgeable and professional, offering me excellent information and advice and the treatment she used to mend the tooth was done quickly and very effectively. The dental assistant was also very helpful, polite and a great support. Great teamwork!

9th April 2026

Excellent dental practice - been a patient for many years and feel I’ve always had excellent care.

4th April 2026

Paul Cassidy was so kind and the lively nurse Sophy kept me occupied so I was not concentrating on my own anxiety. Great practice Great Team highly recommended

30th March 2026

I was seen reasonably close to my appointment time and dentist listened to me. I have undergone emergency major surgery since my last appointment and am still in recovery period so feeling a little fragile.

28th March 2026

The hygienist Debbie as always was on time really friendly and efficient. She is always very thorough and gave some helpful advice as i had had some problems a couple of weeks before. I had to wait an extra 10 minutes for my next appointment to see the dentist who was extremely quick.

26th March 2026

Pleasant environment, prompt attention, thorough and gentle assessment, X-rays and treatment planning. Options fully explained and written follow up with treatment planning awaited.

24th March 2026

I was only booked for a checkup, I knew I had lots to do but was surprised that She was able to remove an abcessed root of a broken tooth that day. I was aware of the abcess but thought it would be booked at a later date.

21st March 2026

The general professionalism and friendliness at Oakmead. They're all like one big happy family and it shows to their patients who feel that vibe

20th March 2026

Good clean, on time, nice hygenist

16th March 2026

Communication, organisation and treatment went without problem.

16th March 2026

Very friendly and helpful staff.Everything is explained and discussed.Having continuity with the same dentist means you trust them and have a rapport.

16th March 2026

The staff are always very friendly and helpfulI had a wait before my appointment with the dentist but the nurse apologised as soon as I saw her

15th March 2026

I am nervous of dentists and treatments and I recently became a client as my previous dentist retired so I was anxious about coming to Oakmead but everyone has been warm and friendly putting me at ease

15th March 2026

The problem was parking. I often walk but had to take the car to get to another appointment. The car park was already overfull and I couldn't park on the road due to the restrictions between 10-11 am and the park had no parking due to works (that's where i used to park but the amount of parking has drastically reduced due to EV charging stations and some parking spots disappearing. I ended up late despite leaving far more time than usual as had to pay for parking in car park on A22 and run back so ended up a couple of minutes late. Perhaps a warning over the car park at the park being out of action to patients would have helped. They have had works going on there for months but I was unaware that they had taken over the car park.

Prev Previous
Next Next